Новосибирские нейрохирурги спасли пациентку с опухолью головного мозга
Новосибирские нейрохирурги спасли пациентку с опухолью головного мозга
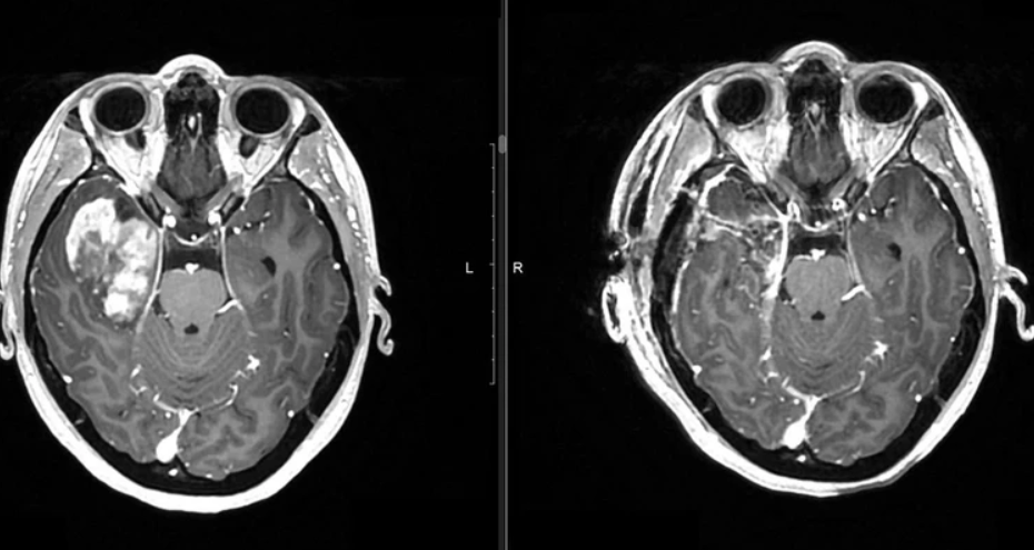
В нейрохирургическом отделении №1 Новосибирского НИИТО им. Я.Л. Цивьяна успешно провели сложнейшую операцию по удалению крупного внутримозгового новообразования у 26-летней сибирячки.
Около года назад у девушки появились странные симптомы. К примеру, она начала неожиданно чувствовать запах стирального порошка, хотя его нигде рядом не было. В ноябре 2024 года состояние сибирячки резко ухудшилось, внезапно закружилась голова, возникла сильная слабость.
– Я попыталась позвонить сестре, но язык будто онемел, – рассказала КП-Новосибирск девушка.
Нарушения речи стали повторяться всё чаще, к ним добавилась дезориентация в пространстве. Когда прошла обследование, то выяснилось, что в головном мозге опухоль. Врач после осмотра подтвердил необходимость хирургического вмешательства. Начали оформлять квоту на операцию.
10 января 2025 года сибирячку госпитализировали в нейрохирургическое отделение №1, а 14-го числа провели операцию. Из-за размеров и расположения опухоли – в правой височной доле – было принято решение о проведении открытой операции.
– Это необходимо, чтобы мы могли наиболее точно визуализировать опухоль и удалить её, с учётом того, что границы между пораженными тканями и здоровым мозгом размыты, – объяснил нейрохирург Сергей Мишинов.
Опухоль росла довольно быстро, уже достигла размеров мяча для настольного тенниса. Она продолжала бы увеличиваться, сдавливая здоровые ткани мозга и вызывая серьезные неврологические нарушения, если бы девушке не помогли. Благодаря использованию современных технологий хирургам удалось полностью удалить новообразование.
Сейчас сибирячка чувствует себя хорошо,самостоятельно передвигается, готовится к выписке из стационара. Небольшое ощущение «тумана» в голове, по словам врачей, это нормальное явление после такой сложной операции на головном мозге.
Фото пресс-службы НИИТО им. Я.Л. Цивьяна



Комментарии