Здоровье и медицина
21.01.2025, 16:24
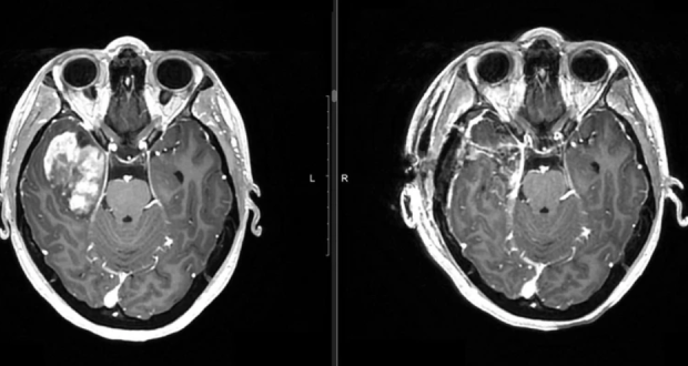
Новосибирские нейрохирурги спасли пациентку с опухолью головного мозга
В нейрохирургическом отделении №1 Новосибирского НИИТО им. Я.Л. Цивьяна успешно провели сложнейшую операцию по удалению крупного внутримозгового новообразования у 26-летней сибирячки. Около года назад у девушки появились странные симптомы. К примеру, она начала неожиданно...
471 0
Здоровье и медицина
15.01.2025, 18:18
Врачи центра Мешалкина спасли пациента с огромным тромбом
26-летний житель Новосибирска находится под постоянным присмотром медиков: несколько лет назад из-за тяжелого воспалительного процесса у него отказали почки. Мужчина ждал донорского органа для пересадки и проходил плановые обследования. Во время одного из них выявилась новая угроза...
726 0
Здоровье и медицина
14.01.2025, 17:56
Редкую операцию пациентке с онемением ног провели в Новосибирске
59-летняя женщина много лет страдала из-за болей в спине и онемения ног. Она обращалась за помощью к медикам, однако консервативное лечение не давало желаемого результата: на время боль проходила, а потом возвращалась. В 2022 году болевой синдром в спине и ногах усилился. Женщина...
715 0
Здоровье и медицина
28.12.2024, 10:09
Эвакуация вертолетом, ИВЛ, две операции. Как спасали новосибирца с ожогом 60 процентов тела
Эта история могла бы закончиться весьма печально. ЧП произошло в Ордынском районе Новосибирской области. В доме взорвался газовый баллон, когда хозяин включил плиту. Начался пожар. Спасая имущество, молодой мужчина сильно обгорел. Как рассказал сам мужчина, когда всё произошло, он...
1022 0
Здоровье и медицина
25.12.2024, 15:53
В 2025 году начнется реконструкция Центра Мешалкина
Проектная и сметная документация на объекты первого этапа строительства в рамках масштабной программы реконструкции и развития ФГБУ «НМИЦ им. ак. Е.Н. Мешалкина» Минздрава России получила положительное заключение ФАУ «Главгосэкспертиза России». Об этом сообщили в...
2926 2

